产品分类
- sigma原装试剂 (463)
- 罗氏产品 (2778)
- elisa原装试剂盒 (624)
- 细胞因子 (642)
- 抗体 (5964)
- millipore (144)
- GE试剂 (1505)
- Thermo (9248)
- R&D试剂 (27801)
- 生化试剂 (5170)
- 移液器 (1266)
- 耗材 (120)
- LP (112)
- QIAGEN (2)
- Pierce (91)
- MCE (8793)
- 国产 (51942)
- Agilent (594)
- IKA实验通用仪器 (3)
- axygen (202)
- 西班牙IUL (13)
- 伯乐 (164)
- NuSep (57)
- Worthington (515)
- Mirusbio (5)
- Vectorlabs (7)
- 其他分类 (912)
公司荣誉
公司图片
公司新闻
草鱼鱼肉总蛋白质凝胶电泳技术
发布时间:2012-04-13 16:13 | 点击次数:878
草鱼鱼肉总蛋白质凝胶电泳技术
凝胶电泳,虽是一项看似不起眼的技术,却也蕴藏着不少学问。如果你总结出了一些电泳技巧和经验,或者对核酸电泳/蛋白电泳有一些特别的心得体会,那么你就是我们要寻找的“电泳达人”啦。
长沙理工大学的王满生介绍了草鱼鱼肉总蛋白凝胶电泳的详细步骤。
凝胶电泳,虽是一项看似不起眼的技术,却也蕴藏着不少学问。如果你总结出了一些电泳技巧和经验,或者对核酸电泳/蛋白电泳有一些特别的心得体会,那么你就是我们要寻找的“电泳达人”啦。
长沙理工大学的王满生介绍了草鱼鱼肉总蛋白凝胶电泳的详细步骤。
1.凝胶电泳的总蛋白提取http://www.runwelltac.com
根据Wasson等的方法稍作改进提取总蛋白。取40ml含有0.1%β-巯基乙醇的5%SDS溶液添加到6g搅碎的鱼肉中,然后用绞肉机绞碎3次,每次10s,然后无损转移到离心杯中(期间用另外10ml上述SDS溶液淋洗绞肉杯);再于80℃水浴1h ,尽量使所有的肌原纤维蛋白完全溶解,最后在8000r/min离心20min,上清液过滤去除脂类等物质,并用Lowry法测定上清液中蛋白质的含量。
根据Wasson等的方法稍作改进提取总蛋白。取40ml含有0.1%β-巯基乙醇的5%SDS溶液添加到6g搅碎的鱼肉中,然后用绞肉机绞碎3次,每次10s,然后无损转移到离心杯中(期间用另外10ml上述SDS溶液淋洗绞肉杯);再于80℃水浴1h ,尽量使所有的肌原纤维蛋白完全溶解,最后在8000r/min离心20min,上清液过滤去除脂类等物质,并用Lowry法测定上清液中蛋白质的含量。
2.SDS-PAGE凝胶电泳
(1)标准蛋白标准曲线制作
SDS-PAGE主要依据就是各蛋白质分子量的差异。因为当SDS与蛋白质结合后,蛋白质分子就会带有大量负电荷,并远远超过其原有的电荷,从而使天然蛋白质分子间的电荷差降低甚至消除。与此同时,蛋白质在SDS作用下,结构变得疏松,形状趋向一致,此时根据各种SDS-蛋白质复合物在电泳时所产生泳动率差异即可说明分子量差异。
(1)标准蛋白标准曲线制作
SDS-PAGE主要依据就是各蛋白质分子量的差异。因为当SDS与蛋白质结合后,蛋白质分子就会带有大量负电荷,并远远超过其原有的电荷,从而使天然蛋白质分子间的电荷差降低甚至消除。与此同时,蛋白质在SDS作用下,结构变得疏松,形状趋向一致,此时根据各种SDS-蛋白质复合物在电泳时所产生泳动率差异即可说明分子量差异。
用直尺分别量出标准蛋白质及溴酚蓝前沿距分离胶顶端的距离,按下式计算相对迁移率:
相对迁移率=样品迁移距离(cm)/染料迁移距离(cm)
相对迁移率=样品迁移距离(cm)/染料迁移距离(cm)
计算结果如下:
|
染料迁移距离(cm)
|
样品迁移距离(cm)
|
相对迁移率
|
标准蛋白
名称
|
标准蛋白
分子量Mr
|
对数分子量
Low MW
|
|
5.5
|
4.6
|
0.8364
|
鸡蛋清溶菌酶
|
14400
|
4.1584
|
|
5.5
|
3.9
|
0.7091
|
胰蛋白酶抑制剂
|
20100
|
4.3032
|
|
5.5
|
2.8
|
0.5091
|
牛碳酸酐酶
|
31000
|
4.4914
|
|
5.5
|
2.1
|
0.3818
|
兔肌动蛋白
|
43000
|
4.6335
|
|
5.5
|
1.2
|
0.2182
|
牛血清白蛋白
|
66200
|
4.8209
|
|
5.5
|
0.8
|
0.1455
|
兔磷酸化酶B
|
97400
|
4.9886
|
以标准蛋白质分子量Mr的对数对相对迁移率作图,得到标准曲线如下:
(2)鱼肉样品提取液SDS-PAGE凝胶电泳
一) 实验试剂的配制
(1) 10%(W/V)SDS溶液:称5克SDS,加纯净水至50ml,使其充分溶解;
天气冷时稍微预热,可加快溶解。
(2) 10%(W/V)过硫酸铵(AP):称取AP1克,加重蒸水至10ml。临用前配制,即现配现用。注意,称样时先将表面的药品层刮去,选择里层样品取样称量。
(3) 凝胶贮液
A液:
称取丙烯酰胺29.2克,甲叉双丙烯酰胺0.8克,溶于重蒸水中,最后定容至100ml,缓慢搅拌至丙烯酰胺粉末完全溶解,过滤后置棕色瓶中在4℃保存。注意,所用试剂需要达到电泳级别纯度,进口试剂好些。
B液(100ml):
75ml 2mol/L Tris-HCl(PH8.8)
4ml 10%SDS
21ml 纯净水
置棕色瓶中4℃保存。
C液(100ml):
50ml 1mol/L Tris-HCl(PH6.8)
4ml 10%SDS
46ml 纯净水
置棕色瓶中4℃保存。
(4) 电极缓冲液(内含0.1% SDS,0.05 mol/L Tris-0.384 mol/L甘氨酸缓冲液 pH8.3)称Tris3.0克,甘氨酸14.4克,加入10%SDS 10ml,加重蒸水约900ml使其溶解,调pH8.3后定容至1000ml,置4℃保存。
(5) 固定液:量取50%的甲醇454 ml,冰乙酸46ml混匀。
(6) 染色液:称考马斯亮蓝R-250 0.125克,加上述固定液250ml,充分溶解后过滤备用。
(7) 脱色液:冰乙酸75ml,加蒸馏水定容至1000ml。
(1) 10%(W/V)SDS溶液:称5克SDS,加纯净水至50ml,使其充分溶解;
天气冷时稍微预热,可加快溶解。
(2) 10%(W/V)过硫酸铵(AP):称取AP1克,加重蒸水至10ml。临用前配制,即现配现用。注意,称样时先将表面的药品层刮去,选择里层样品取样称量。
(3) 凝胶贮液
A液:
称取丙烯酰胺29.2克,甲叉双丙烯酰胺0.8克,溶于重蒸水中,最后定容至100ml,缓慢搅拌至丙烯酰胺粉末完全溶解,过滤后置棕色瓶中在4℃保存。注意,所用试剂需要达到电泳级别纯度,进口试剂好些。
B液(100ml):
75ml 2mol/L Tris-HCl(PH8.8)
4ml 10%SDS
21ml 纯净水
置棕色瓶中4℃保存。
C液(100ml):
50ml 1mol/L Tris-HCl(PH6.8)
4ml 10%SDS
46ml 纯净水
置棕色瓶中4℃保存。
(4) 电极缓冲液(内含0.1% SDS,0.05 mol/L Tris-0.384 mol/L甘氨酸缓冲液 pH8.3)称Tris3.0克,甘氨酸14.4克,加入10%SDS 10ml,加重蒸水约900ml使其溶解,调pH8.3后定容至1000ml,置4℃保存。
(5) 固定液:量取50%的甲醇454 ml,冰乙酸46ml混匀。
(6) 染色液:称考马斯亮蓝R-250 0.125克,加上述固定液250ml,充分溶解后过滤备用。
(7) 脱色液:冰乙酸75ml,加蒸馏水定容至1000ml。
二)样品制备
(1) 5×样品缓冲液的配制:按下表配制50ml
10%SDS 巯基乙醇 溴酚蓝 甘油 1mol/L Tris-HCl 加水至总体积为
10ml 2.5ml 0.25g 30ml 3ml 50ml
(2) 鱼肉提取液样品处理
吸取1ml鱼肉提取液,加1ml5×样品缓冲液,再加3ml纯净水,水浴10分钟,然后于12000rpm离心5min,取上清液准备上样。
(1) 5×样品缓冲液的配制:按下表配制50ml
10%SDS 巯基乙醇 溴酚蓝 甘油 1mol/L Tris-HCl 加水至总体积为
10ml 2.5ml 0.25g 30ml 3ml 50ml
(2) 鱼肉提取液样品处理
吸取1ml鱼肉提取液,加1ml5×样品缓冲液,再加3ml纯净水,水浴10分钟,然后于12000rpm离心5min,取上清液准备上样。
三) 实验操作方法
① 原位制胶器的安装
② 凝胶板的制备
⑴ 分离胶的制备:按下面的配方比例配制15ml 12.5%分离胶,加AP混匀后用细长头滴管将凝胶液加至平、凹玻璃板间的缝隙内,约灌至胶室的2/3处位置时,用1ml注射器取少许蒸馏水,沿平玻璃板板壁缓慢注入,约1cm高,以便除去气泡和隔氧,置于35℃培养箱中保温。约40min后,凝胶与水封层间出现折射率不同的界线,则表示凝胶完全聚合。倾去水封层的蒸馏水,再用滤纸条吸去多余水分。
分离胶配方:
A液 6.3ml
B液 3.75ml
纯净水 4.95ml
10%AP 50微升
TEMEP 5微升
AP用量根据室温酌情添加。
⑵ 浓缩胶的制备:按下面的配方比例配制8ml5%的浓缩胶,用细长头滴管将浓缩胶加到已聚合的分离胶上方,直至距离凹玻璃板上端约0.5cm处,轻轻将样品槽模板插入浓缩胶内,置于35℃培养箱中保温,约30min后凝胶聚合,再过20-30min使凝胶“老化”。小心拔去样品槽模板,用窄条滤纸吸去槽内多余水分。
浓缩胶配方:
A液 1.34ml
C液 2.00ml
纯净水 4.60ml
10%AP 30微升
TEMEP 5微升
AP用量根据室温酌情添加。
③加电极缓冲液及上样
先在外室加入适量的电极缓冲液,然后倾斜电泳槽,以赶走分离胶底部残留的气泡;再往内室加电极缓冲液,直至缓冲液进入上样孔内。丄样时不要让枪头触及凝胶,且每上一种样品后都要换一只枪头,再上另外一种样品。而且空的上样孔里面也都加入上样缓冲液。
④电泳
⑴ 将上盖盖在下槽(缓冲液槽)上,并使其完全扣紧到位。
⑵ 接通电泳仪电源,开始稳压为40V左右,待样品进入分离胶后改为80V,当染料前沿距橡胶框底边0.5cm左右时,停止电泳。
⑤ 凝胶板剥离与固定
电泳结束后,取下凝胶模,卸下橡胶框,用镊子撬开凹玻璃板,在凝胶板上切下一角作为加样标志。在两侧溴酚蓝染料区带中心插入细铜丝作为前沿标记,将凝胶板放入带盖的大培养皿内,加入固定液,固定2h。
⑥ 染色与脱色
倾去固定液,将染色液倒入培养皿内染色2小时左右,用蒸馏水漂洗数次,再用脱色液脱色,期间不时振摇培养皿,同时更换脱色液数次,直至蛋白质区带清晰为止,有时可能要过夜脱色。
⑦ 照相并分析结果
① 原位制胶器的安装
② 凝胶板的制备
⑴ 分离胶的制备:按下面的配方比例配制15ml 12.5%分离胶,加AP混匀后用细长头滴管将凝胶液加至平、凹玻璃板间的缝隙内,约灌至胶室的2/3处位置时,用1ml注射器取少许蒸馏水,沿平玻璃板板壁缓慢注入,约1cm高,以便除去气泡和隔氧,置于35℃培养箱中保温。约40min后,凝胶与水封层间出现折射率不同的界线,则表示凝胶完全聚合。倾去水封层的蒸馏水,再用滤纸条吸去多余水分。
分离胶配方:
A液 6.3ml
B液 3.75ml
纯净水 4.95ml
10%AP 50微升
TEMEP 5微升
AP用量根据室温酌情添加。
⑵ 浓缩胶的制备:按下面的配方比例配制8ml5%的浓缩胶,用细长头滴管将浓缩胶加到已聚合的分离胶上方,直至距离凹玻璃板上端约0.5cm处,轻轻将样品槽模板插入浓缩胶内,置于35℃培养箱中保温,约30min后凝胶聚合,再过20-30min使凝胶“老化”。小心拔去样品槽模板,用窄条滤纸吸去槽内多余水分。
浓缩胶配方:
A液 1.34ml
C液 2.00ml
纯净水 4.60ml
10%AP 30微升
TEMEP 5微升
AP用量根据室温酌情添加。
③加电极缓冲液及上样
先在外室加入适量的电极缓冲液,然后倾斜电泳槽,以赶走分离胶底部残留的气泡;再往内室加电极缓冲液,直至缓冲液进入上样孔内。丄样时不要让枪头触及凝胶,且每上一种样品后都要换一只枪头,再上另外一种样品。而且空的上样孔里面也都加入上样缓冲液。
④电泳
⑴ 将上盖盖在下槽(缓冲液槽)上,并使其完全扣紧到位。
⑵ 接通电泳仪电源,开始稳压为40V左右,待样品进入分离胶后改为80V,当染料前沿距橡胶框底边0.5cm左右时,停止电泳。
⑤ 凝胶板剥离与固定
电泳结束后,取下凝胶模,卸下橡胶框,用镊子撬开凹玻璃板,在凝胶板上切下一角作为加样标志。在两侧溴酚蓝染料区带中心插入细铜丝作为前沿标记,将凝胶板放入带盖的大培养皿内,加入固定液,固定2h。
⑥ 染色与脱色
倾去固定液,将染色液倒入培养皿内染色2小时左右,用蒸馏水漂洗数次,再用脱色液脱色,期间不时振摇培养皿,同时更换脱色液数次,直至蛋白质区带清晰为止,有时可能要过夜脱色。
⑦ 照相并分析结果
四)实验结果与分析
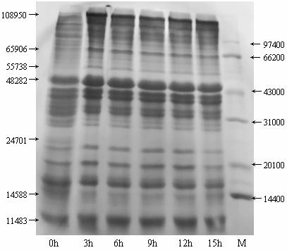
如下电泳图谱,其中从左边第一泳道到第六泳道分别是鱼肉在常温(25℃)条件下保存不同时间的电泳条带,第七泳道为蛋白质标样的电泳条带。
如下电泳图谱,其中从左边第一泳道到第六泳道分别是鱼肉在常温(25℃)条件下保存不同时间的电泳条带,第七泳道为蛋白质标样的电泳条带。





































